RADNET: Precisão em nível de radiologista usando aprendizado profundo para detecção de HEMORRAGIA em tomografias computadorizadas
Autores: Monika Grewal, Muktabh Mayani Srivastava, Pulkit Kumar, Srikrishna Varadarajan
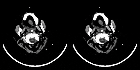
Descrevemos uma abordagem de aprendizado profundo para detecção automatizada de hemorragia cerebral a partir de exames de tomografia computadorizada (TC). Nosso modelo emula o procedimento seguido pelos radiologistas para analisar uma tomografia computadorizada 3D no mundo real. Semelhante aos radiologistas, o modelo examina cortes transversais 2D enquanto presta muita atenção às possíveis regiões hemorrágicas. Além disso, o modelo utiliza o contexto 3D de fatias vizinhas para melhorar as previsões em cada fatia e, posteriormente, agrega as previsões em nível de fatia para fornecer o diagnóstico em nível de tomografia computadorizada. Nós nos referimos à nossa abordagem proposta como Recurrent Attention DenseNet (RadNet), pois ela emprega a arquitetura DenseNet original, além de adicionar os componentes de atenção para previsões em nível de fatia e a camada de rede neural recorrente para incorporar o contexto 3D. O desempenho real do RadNet foi comparado com análises independentes realizadas por três radiologistas seniores para 77 tomografias computadorizadas cerebrais. O RadNet demonstra uma precisão de previsão de hemorragia de 81,82% em nível de tomografia computadorizada, comparável à dos radiologistas. Além disso, o RadNet alcança um maior recall do que dois dos três radiologistas, o que é notável.

RadNet, nossa arquitetura proposta para detectar hemorragia cerebral, emula radiologistas que tentam detectar hemorragias no cérebro deslizando/para cima entre fatias de tomografia computadorizada, tratando a detecção de hemorragia como um problema de modelagem de sequência em que os elementos das sequências são fatias de tomografia computadorizada 2D. Um Dense Convnet com atenção é usado para deduzir coisas em um nível de fatia e um LSTM é então usado para classificar uma sequência de fatias. Quando avaliado contra radiologistas, o RadNet teve um desempenho comparável ao dos radiologistas e uma pontuação F1 melhor do que eles.
Marcação anatômica de anomalias de tomografia computadorizada cerebral usando redes multicontextuais de relações entre vizinhos mais próximos
Autores: Srikrishna Varadarajan, Muktabh Mayani Srivastava, Monika Grewal, Pulkit Kumar
Este trabalho é um esforço para desenvolver uma metodologia de aprendizado profundo para marcação anatômica automatizada de uma determinada região de interesse (ROI) em exames de tomografia computadorizada (TC) cerebral. Combinamos o contexto local e global para obter uma representação do ROI. Em seguida, usamos Redes de Relação (RNs) para prever a anatomia correspondente do ROI com base em sua pontuação de relacionamento para cada classe. Além disso, propomos uma nova estratégia empregando a abordagem dos vizinhos mais próximos para treinar RNs. Treinamos RNs para aprender a relação do ROI alvo com a representação conjunta de seus vizinhos mais próximos em cada classe, em vez de todos os pontos de dados em cada classe. A estratégia proposta leva a um melhor treinamento de RNs, juntamente com um maior desempenho em comparação com a rede de RN de linha de base de treinamento.

O que propomos aqui é um algoritmo de meta-aprendizado, no sentido de que é independente de classe e pode generalizar para qualquer nova anatomia adicionando um pequeno conjunto de exemplos (algumas centenas de fatias). O algoritmo proposto pode efetivamente escalar até qualquer número de anatomias com o mínimo esforço.

.jpg)
